VEREM TEHLİKESİ: "ÖLÜMLERDE ARTIŞ OLABİLİR"
Tüberküloz, daha çok bilinen adıyla verem, tarih boyunca en çok ölüme yol açan bulaşıcı hastalık oldu.

08 Ocak 2021 Cuma 11:27
Günümüzde tanı ve tedavi ile kontrol altına alınan hastalık, sağlık hizmetlerinin yetersiz olduğu ülkelerde halen ciddi bir tehdit. Ancak uzmanlar, Covid-19 korkusu nedeniyle hastaneye başvuru ve teşhis sayılarındaki düşüşün verem kaynaklı ölümleri artırabileceğini belirtiyor. Ulusal Verem Savaşı Dernekleri Federasyonu Başkanı Prof. Dr. Zeki Kılıçaslan'a göre, Covid salgını verem ile mücadelede bizi 10 yıl geriye götürebilir. Bu nedenle her yıl düzenli bir şekilde azalmakta olan verem ölümlerinde yeniden ciddi bir artış olabilir.
Verem haftası her yıl olduğu gibi bu yıl da ocak ayının ilk pazar gününden itibaren kutlanıyor.
Amacı, toplumu bir akciğer hastalığı olan tüberküloz (verem) konusunda bilinçlendirmek olan Verem Haftası, bu yıl Covid-19 salgını nedeniyle ayrı bir önem kazandı.
Salgın korkusu nedeniyle hastaneye başvuruların ve teşhis sayısının azaldığını söyleyen uzmanlar, tüberküloz kaynaklı ölümlerin 1.85 milyon ile 2012 yılındaki rakamlara dönebileceği konusunda uyarıda bulunuyor.
Türkiye Ulusal Verem Savaşı Dernekleri Federasyonu Başkanı Prof. Dr. Zeki Kılıçaslan, konuyla ilgili açıklamalarda bulundu.
Veremle mücadelenin aksamadan sürdürülmesinin önemine işaret eden Kılıçaslan, "Veremle mücadelede bir iki yıllık aksamalar mücadelenin düzeyini 5-10 yıla varan geri düzeylere düşürebilir" dedi.
Kılıçaslan, "Her ne olursa olsun veremle mücadeledeki temel faaliyetlerin aksamasına izin verilmemelidir. Toplam olarak sağlığa ayrılan maddi kaynak artırılmalı ileri eğitim gerektirmeyen yardımcı hizmetlerde çalışmak üzere geçici personel istihdam edilmelidir. Özellikle verem mücadelesi ile uğraşan verem savaşı dispanseri gibi yerlerdeki kilit elemanların (bunlar çoğunlukla deneyimli dispanser hemşireleridir) başka kurumlarda görevlendirilmemeleri gereklidir" diye konuştu.
TEŞHİS AZALINCA YAYILIM ARTIYOR
Hafif öksürük, halsizlik gibi hastalık şüphesi olan insanların Covid korkusu nedeniyle sağlık kurumlarına gitmekten çekindiğini söyleyen Kılıçaslan, şöyle devam etti:
"Tüberkülozlu hasta yakınlarının da sağlık kurumlarında taranması gereklidir. Salgın nedeniyle bu temaslı kişilerin taramaları da aksamaktadır. Bu nedenle teşhis konulan hasta sayısı azalmakta teşhis edilip tedavi başlanması gerekebilecek hastaların bir kısmı toplum içinde hastalığı yaymaya devam etmesi söz konusu olmaktadır. Diğer yandan hastaların merkezlere giderek olmaları gereken rutin kontrollerinde zorluklar yaşanmakta bu da tedavide sorunları gündeme getirmektedir."
TEHDİT ALTINDAKİ ÜLKELER
Kılıçaslan, özellikle kaynakları sınırlı olan ülkelerde tehdidin daha büyük olduğuna dikkat çekti. "Tüberküloz sıklığı yüksek olan Hindistan, Güneydoğu Asya ülkeleri, Afrika gibi bölgelerde bu etki daha çok görülecek" diyen Kılıçaslan, şunları kaydetti:
"Hasta veya hastalık şüpheli kişilerden kaynaklanabilecek bu sorunlar dışında sağlık kurumları yönünden de önemli bir sorun gündemdedir. Özellikle maddi veya insan kaynakları sınırlı olan yerlerde bu imkanlar aciliyeti nedeniyle Covid ile mücadeleye kaydırılmak zorunda kalınmaktadır. Bu da veremle uğraşan kurumlarda insan gücü kaybına, laboratuvar gibi bazı hizmetlerin gerilemesine, genel olarak tanı ve takip hizmetlerin kalitesinin düşmesine yol açabilmektedir. Dünya'da henüz tüm 2020 yılının tüm sonuçlarını analiz eden raporlar yayınlanmadı fakat 2020'nin belli aylarını 2019 ile karşılaştıran ve buna dayanarak yapılan bulgular tahminler vardır.
KAPANMA ETKİSİ
Hindistan'da yapılan bir analizde 3 aylık kapanma önleminin bu ülkeye gelecek 5 yıl içinde 1.65 milyon ek tüberküloz hastasına ve 438 bin ek tüberküloz ölümüne yol açacağı tahmin edilmiştir. 2020 yılının ocak-mayıs ayları arası dönem önceki yıllarla karşılaştırıldığında hasta kayıt sayısında yüzde 36-52 oranlarında azalma görülmüştür. Hasta tedavi tamamlama oranları 2019 mayısında yüzde 61 iken 2020 mayısında yüzde 51 olmuştur. Yine dirençli tüberkülozlularda ölüm oranının nisan ve mayıs 2020'de yüzde 12.5 ve yüzde 25 gibi yüksek rakamlara ulaştığı gösterilmiştir. Hasta sayılarındaki azalma Nijerya'da yüzde 35, Kore'de ise yüzde 24 olarak bulunmuştur.
"TÜRKİYE'DE DE DURUM FARKLI DEĞİL"
Dünyaya paralel olarak Türkiye'de de vaka tespit sayılarında düşüş var. 2020 verileri henüz yayımlanmadı ancak Türk Toraks Derneği'nin yaptığı bası açıklamasına göre, geçen yıla göre muayene sayısı ve koruyucu tedaviye alınan kişi sayısında yaklaşık yüzde 40 düzeyinde azalma oldu. Bu doğrultuda yeni kaydedilen tüberkülozlu hasta sayısının yıllık yüzde 3-5 civarında azalması bekleniyor. Bu sayı 2020 yılının ilk 8 ayı için ise yüzde 26 civarında oldu.
BELİRTİLER BENZER
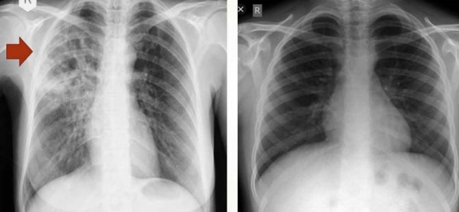
Tüberküloz benzer belirtiler nedeniyle çoğu zaman Covid ile de karıştırılabiliyor. Bu nedenle tüberküloz hastalarına da Covid tanısı ile yaklaşılabildiğini belirten Prof. Dr. Zeki Kılıçaslan, şu bilgileri verdi:
"Tüberkülozlu hastaların hem şikayetleri hem de bazen radyolojik görüntüleri deneyimli olmayan sağlık çalışanları tarafından Covid olarak yorumlanabilir. Bu durum hastaların tanı ve tedavisini geciktirmekte yattığı hastanede veya evinde bulaştırıcı olmaya devam etmesine yol açmaktadır.
COVID İLE BİRLİKTE DAHA ÖLÜMCÜL
Tüberkülozlu hastalar birçoğu karaciğer üzerine yan etki yapabilen ilaçlar kullanmak durumundadır. Bu kişiler aynı zamanda hastası olurlarsa bu hastalığın tedavisinde kullanılan ana ilaç olan Favipiravir'in de karaciğer üzerine yan etki yapabilmesinden dolayı ek zorluklar ortaya çıkabilmekte ve bu durum bazen tedavilerde gecikmeye neden olmaktadır. Yaygın, ağır tüberkülozu olan veya eski geçirilen yaygın tüberküloza bağlı akciğerinde ileri derecede sekel kalmış olan kişilerde Covid daha ağır seyredebilmekte ve ölüme neden olabilmektedir."
TÜBERKÜLOZ NEDİR?
Tüberküloz, "mycobacterium tuberculosis" bakterisinin neden olduğu bulaşıcı bir hastalık. Solunum yoluyla havaya saçılan mikroplarla bulaşığ akciğerlere yerleşiyor. En sık akciğeri tutan mikrop diğer organlarda da hastalığa neden olabiliyor. Tedavisi olan hastalıkta tanı konulan hastalar çok büyük oranda iyileşiyor.
EN ÖLÜMCÜL BULAŞICI HASTALIK
Dünyada her yıl ortalama 1,2 milyon insan tüberküloz nedeniyle hayatını kaybediyor. Her yıl 10 milyon yeni hasta ortaya çıkıyor ancak bunların yüzde 71'inin kayda geçtiği biliniyor. Her yıl dünyada yarım milyon "dirençli tüberküloz" hastası ortaya çıkıyor. Düzenli takip ve tedavisi yapılmayan hastalar hayatını kaybediyor. Sonuçta dünyada en çok öldüren bulaşıcı hastalık olan verem, bütün ölümler içinde de onuncu sırada yer alıyor.
ASYA VE AFRİKA'DA HALA BÜYÜK BİR SALGIN
Verem günümüzde Güneydoğu Asya'da ve Afrika'nın Güney yarısında hala büyük bir salgın şeklinde varlığını sürdürüyor. Dünyadaki bütün hastaların yüzde 26 Hindistan'da bulunuyor. Endonezya, Çin, Filipinler, Pakistan, Nijerya, Bangladeş ve Güney Afrika, sırasıyla en çok hastanın ülkeler.
TÜRKİYE'NİN KAHRAMANI VEREM SAVAŞ DİSPANSERLERİ
Türkiye ise veremle mücadeleyi başarıyla yürüten ülkeler arasında. Hasta sayısı her yıl düzenli olarak azalıyor. Türk TORAKS Derneği verilerine göre; 2005 yılında 20 bin 535 olan toplam vaka sayısı, 2019 yılında 11 bin 401 olarak gerçekleşti. Artan nüfusa rağmen söz konusu yıllar arasında olgu hızı yüz binde 29,8'den 13,7'e gerilemiş durumda. Bu başarılı mücadelenin kahramanı ise erken tanı, tedavi, hasta temaslılarının muayenesi ve risk taşıyanlara koruyucu tedavi verilmesini kapsayan bütünlüklü bir programla çalışan verem savaş dispanserleri...
3'lü zirveden silahlı kuvvetler düzeyinde iş birliğini artırma kararıRum Yönetimi Başkanı Nikos Hristodulidis, Kudüs’te gerçekleştirilen üçlü zirve çerçevesinde Yunanistan Başbakanı Kiriakos Miçotakis ve İsrail Başbakanı Binyamin Netanyahu ile bir araya geldi.23 Aralık 2025 Salı 09:25GÜNEY KIBRIS
Şap Hastalığı Hakkında Merak Edilenler: Uzmanlar Alınması Gereken Önlemleri AnlattıYakın Doğu Üniversitesi Veteriner Hekimliği Fakültesi ile Yakın Doğu Üniversitesi Hayvan Hastanesi uzmanları, adada kırmızı alarma yol açan şap hastalığına ilişkin önemli uyarılarda bulundu.23 Aralık 2025 Salı 09:24YDÜ - YAKIN DOĞU ÜNİVERSİTESİ
Motosiklet sürücüsü yol kenarında yürüyen yayalara çarptı!Gemikonağı’nda akşam saatlerinde meydana gelen trafik kazası endişe yarattı.23 Aralık 2025 Salı 09:23GÜZELYURT
Kelebeklerin Geleceği İçin Kıtalar Arası Dayanışma!Yakın Doğu Üniversitesi Ziraat Fakültesi Dekanı Prof. Dr. Özge Özden, Almanya’da düzenlenen “9. Ortaklar ve Uzmanlar Toplantısı”nda Kıbrıs’ı temsil ederek Akdeniz ekosisteminin karşı karşıya olduğu tehditleri uluslararası bilim dünyasına aktardı.23 Aralık 2025 Salı 09:22YDÜ - YAKIN DOĞU ÜNİVERSİTESİ
Erhürman, İskele Esnaf ve Zanaatkârlar Birliği Başkanı ve beraberindeki heyeti kabul ettiCumhurbaşkanı Tufan Erhürman, İskele Esnaf ve Zanaatkârlar Birliği Başkanı ve beraberindeki heyeti kabul etti23 Aralık 2025 Salı 09:19İSKELE
Asbank Gençler 2. Ayak Bilardo Turnuvası Tamamlandı Şampiyon Yine İsmet HüryolKuzey Kıbrıs Bilardo Federasyonu tarafından organize edilen 2025-2026 Asbank Gençler 2. Ayak Bilardo Turnuvası, KKTC Turkcell İletişim sponsorluğunda Number Eight Bilardo Salonu’nda tamamlandı.23 Aralık 2025 Salı 09:16DİĞER SPORLAR
Nilden Bektaş Erhürman, Bülent Ecevit Rehabilitasyon Merkezi’ni ziyaret ettiCumhurbaşkanı Tufan Erhürman’ın eşi Nilden Bektaş Erhürman, yeni yıl öncesi Bülent Ecevit Rehabilitasyon Merkezi’ni ziyaret etti.23 Aralık 2025 Salı 09:14KIBRIS
“Kızılay ile Kış Sabahları Isınıyor” projesi hayata geçirildiKıbrıs Türk Kızılay, kış aylarının zorlu şartlarında toplumun yanında olmak ve dayanışma ruhunu canlandırmak amacıyla başlattığı “Kızılay ile Kış Sabahları Isınıyor” projesini bugün itibarıyla hayata geçirdi.23 Aralık 2025 Salı 09:12KIBRIS
Alayköy ve Metehan bölgesinde 11.00–13.00 saatleri arasında elektrik kesintisiElektrik Kurumu, Alayköy’de beton dökümü sırasında tehlike oluşturan havai hatlar nedeniyle bugün 11.00–13.00 saatleri arasında elektrik kesintisi yapılacağını duyurdu. Kesintiden Alayköy ile Metehan Sınır Kapısı bölgesinin etkileneceği belirtildi.23 Aralık 2025 Salı 09:11KIBRIS
Hava cumaya kadar yağmurlu olacakMeteoroloji Dairesi, 23-29 Aralık tarihleri arasında parçalı bulutlu ve yer yer sağanak yağışlı hava beklendiğini kaydetti.23 Aralık 2025 Salı 09:10KIBRIS
- Geri
- Ana Sayfa
- Normal Görünüm
- © 2014 Detay Kıbrıs












Türkçe karakter kullanılmayan ve büyük harflerle yazılmış yorumlar onaylanmamaktadır.