SIRT AĞRISI SEBEBİYLE 18 AY BOYUCA KOLUNA SPERM ENJEKTE ETTİ
33 yaşındaki bir hastanın, sırt ağrılarını dindirmek için herhangi bir tıbbi öneri almadan koluna kendi spermini düzenli olarak enjekte ettirdiği ortaya çıktı.

17 Ocak 2019 Perşembe 18:25
İrlanda'da 33 yaşındaki bir hastanın, sırt ağrılarını dindirmek için herhangi bir tıbbi öneri almadan koluna kendi spermini düzenli olarak enjekte ettirdiği ortaya çıktı.
İrlanda'nın başkenti Dublin'de adı açıklanmayan 33 yaşındaki bir hasta, kronik sırt ağrısı şikayetiyle doktora gitti.
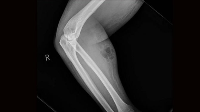
Doktorlar, hastanın ön kolunda ciddi şekilde şişlik ve kızarıklık olduğunu fark etti.
Yapılan tetkiklerde hastanın sırt ağrısını geçireceği düşüncesiyle 18 ay boyunca koluna kendi spermini enjekte ettiği ve deri altı yangısı rahatsızlığına yakalandığı ortaya çıktı.
Irish Medical Journal'da da yer alan vaka için Dr. Lisa Dunne, hastanın herhangi bir tıbbi öneri almaksızın böyle bir yönteme başvurduğunu belirtti.
İnternetten satın aldığı enjeksiyon iğnesi ile 18 ay boyunca ön koluna ayda bir doz sperm enjekte eden ve bu sayede sırt ağrılarından kurtulacağına inanan hastanın sırt ağrıları dinmek bilmedi.
Ağır metal nesne kaldıran hastanın hem sırt ağrısı arttı hem de kolu incindi.
Vaka raporunda hastanın herhangi bir tıbbi öneri almaksızın böyle bir yönteme başvurduğunu belirtti.
Doktorların enjekte edilen spermi deri altından çıkarmak istediği ancak adamın tedavi olmadan hastaneden ayrıldığı belirtildi.
Hastayla ilgilenen doktor Lisa Dunne, daha önce böyle bir vakayla karşılaşmadığını ve spermin insan damarlarına veya kaslarına enjekte edilmesinin etkileri konusunda daha önce hiçbir test yapılmadığını açıkladı.
Tedavi altına alınan hastanın durumunun iyi olduğu bildirildi.
İncirli: Gelecek nesillere gurur duyacakları bir ülke bırakmak için çalışıyoruzCTP Genel Başkanı Sıla Usar İncirli, Lurucina Panayırı’nda kültür, dayanışma ve yeni geçiş kapılarının önemine vurgu yaptı; adil ve sürdürülebilir barış için kapıların açılmasının ortak talep olduğunu belirtti.03 Mayıs 2026 Pazar 21:30KIBRIS
Kariyer Günü’nde Büyük Buluşma!Dünyanın en iyi ilk 500 üniversitesi arasında yer alan Yakın Doğu Üniversitesi’nde düzenlenen “Kariyer Günü 2026”, öğrencilerle iş dünyasını bir araya getirerek kariyer yolculuklarına rehberlik etti.03 Mayıs 2026 Pazar 18:03YDÜ - YAKIN DOĞU ÜNİVERSİTESİ
Erdal Abidin için acil AB pozitif trombosit kana ihtiyaç vardır.Erdal Abidin için acil AB pozitif trombosit kana ihtiyaç vardır.03 Mayıs 2026 Pazar 18:02KIBRIS
ARUCAD Dünya Dans Günü’nü “Bodies Speak / Ideas Move” Programıyla KutladıARUCAD Müzik ve Sahne Sanatları Fakültesi Modern Dans Bölümü öncülüğünde gerçekleştirilen etkinlik, atölye çalışmaları, açık sahne performansları ve akşam gösterimleriyle yoğun bir katılıma sahne oldu.03 Mayıs 2026 Pazar 18:00ARUCAD
Kayıp Şahıslar Komitesine 1 milyon euro ödeyecekRum Yönetimi’nin, kayıpların kimlik tespitine yönelik testlerin yapılabilmesi amacıyla 1 milyon euro değerindeki ödeneği onayladığı belirtildi.03 Mayıs 2026 Pazar 17:58KIBRIS
Meclis Genel Kurulu yarın toplanacak…Gündemde 5 yasa tasarısı var03 Mayıs 2026 Pazar 17:56KIBRIS
Gazimağusa’da 3 yaşındaki çocuk hayatını kaybettiGazimağusa’da 3 yaşındaki Ayaz Kılbaş, ikametgâhı içerisinde aniden rahatsızlanarak yaşamını yitirdi.03 Mayıs 2026 Pazar 17:55KIBRIS
Erhürman, TOBB Başkanı Hisarcıklıoğlu’nu kabul ettiCumhurbaşkanı Tufan Erhürman, Türkiye Odalar ve Borsalar Birliği Başkanı Rifat Hisarcıklıoğlu ve beraberindeki heyeti kabul etti03 Mayıs 2026 Pazar 17:54KIBRIS
Merit Otellerinin geleneksel 23 Nisan şenlik ve eğlenceleri Merit Park Hotel’de yapıldıMerit International Sosyal İşler Koordinatörlüğü tarafından Merit Park Hotel’de düzenlenen Merit Otelleri İlkokullar 23 Nisan Oyunları ve Eğlencesi, bu yıl üçüncü kez gerçekleştirilerek çocuklara unutulmaz anlar yaşattı.03 Mayıs 2026 Pazar 17:51KIBRIS
Güney Kıbrıs'ta 2 şap vakası dahaRum basınında yer alan bilgilere göre Athineu'da iki çiftlikte şap hastalığı tespit edildi. Buna göre şap hastalığı görülen çiftlik sayısı 110’a ulaştı. Öte yandan nadir türlerin akıbetine ilişkin kararın önümüzdeki günlerde açıklanması bekleniyor.02 Mayıs 2026 Cumartesi 18:37GÜNEY KIBRIS
- Geri
- Ana Sayfa
- Normal Görünüm
- © 2014 Detay Kıbrıs











Türkçe karakter kullanılmayan ve büyük harflerle yazılmış yorumlar onaylanmamaktadır.