“BİYOPSİ YAPILMADAN TEŞHİS KONULMAZ”
Doğu Akdeniz Üniversitesi (DAÜ) Dr. Fazıl Küçük Tıp Fakültesi, toplum sağlığıyla ilgili konularda büyük bir duyarlılıkla toplumu bilgilendirmeye ve çok merak edilen soruların cevaplanmasında aracılık etmeye devam ediyor.

16 Kasım 2018 Cuma 14:50
Doğu Akdeniz Üniversitesi (DAÜ) Dr. Fazıl Küçük Tıp Fakültesi, toplum sağlığıyla ilgili konularda büyük bir duyarlılıkla toplumu bilgilendirmeye ve çok merak edilen soruların cevaplanmasında aracılık etmeye devam ediyor. Son olarak Marmara Üniversitesi Tıp Fakültesi Cerrahi Tıp Bilimleri Bölümü Öğretim Üyesi Prof. Dr. Hasan Batırel, DAÜ Dr. Fazıl Küçük Tıp Fakültesi Öğretim Üyesi Op. Dr. Didem Rıfkı’nın 17 Kasım Dünya Akciğer Kanseri Günü sebebiyle hazırlamış olduğu soruları yanıtladı. Prof. Dr. Batırel, akciğer kanseri ile ilgili tanı ve tedavi yöntemleri ile akciğer kanserine yakalanmamak için neler yapmamız gerektiğini anlattı.
Düşük Doz Bilgisayarlı Tomografi
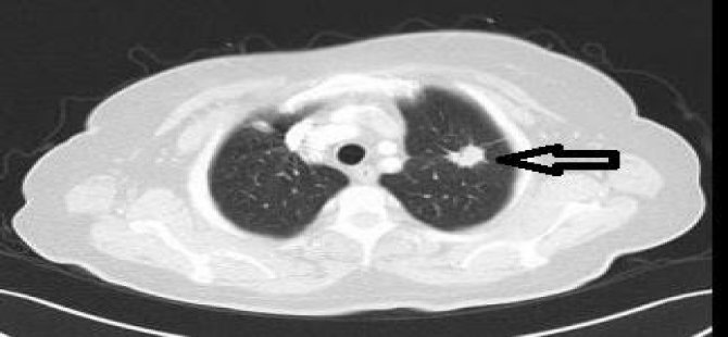
Prof. Dr. Batırel, akciğer kanseri için tarama testi olarak düşük doz bilgisayarlı tomografinin kimlere yapılması gerektiğine ilişkin, “Uzun yıllar akciğer kanseri için ideal bir tarama testi araştırıldı. Balgam testi, akciğer filmi ile yapılan taramalar istediğimiz neticeleri vermedi. Ama 2000’li yıllarda yapılan ve yaklaşık 25 bin kişinin düşük doz bilgisayarlı tomografi ile taranması neticesinde tespit edilen akciğer kanserlerinin %80’den fazlasının ilk aşamada olduğu ve akciğer kanserine bağlı ölümlerde %20 azalma olduğu ortaya kondu. Halihazırda elimizdeki en önemli tarama testi yıllık düşük dozlu bilgisayarlı tomografi taramasıdır. Bu taramanın 55 yaş üzerindeki ve en az 20 yıl bir paket sigara içmiş veya halen içen kişilere uygulanması önerilmektedir” diye konuştu.
“En Önemli Önlem Sigara İçmemek”
Akciğer kanserine yakalanmamak için neler yapılabileceğini aktaran Prof. Dr. Batırel, diğer yandan doğal yöntemlerin (fitoterapinin) yeri olup olmadığına ilişkin de şunları söyledi: “En değerli önlem sigara içmemektir. Sigaranın hiç içilmediği bir dünyada akciğer kanserlerinin %95’inin gelişmeyeceği ön görülmektedir. Akciğer kanserinin önlenmesinde fitoterapinin bir rolü gösterilmemiştir. Bununla beraber kansere karşı etkileri bilinen renkli sebzelerin bol tüketilmesi, şekerden uzak durulması genel kaideler olarak bilinmektedir. Fakat sigaranın etkisini bu şekilde azaltmak mümkün değildir. Bazı kişilerde (tüm insanların %10’u) bronş duvarındaki temizleme mekanizması olan mikroskobik yelpazeler daha etkin çalışmakta ve bu kişiler sigara içseler dahi diğer sigara içenlere göre kronik tıkayıcı akciğer hastalığına ve kansere daha nadir yakalanmaktadırlar. Yine de bu kişilerde kanser riski genel topluma göre hala yüksektir.”
“Biyopsi Yapılmadan Teşhis Konulmaz”
Biyopsi, yani parça alınmadan, akciğer kitlelerine teşhis konulamayacağını ifade eden Prof. Dr. Batırel, “Dolayısıyla çeşitli yöntemler kullanılarak akciğerdeki kitleden biyopsi alınabilir. Bunun için sıklıkla tomografi altında kaburgalar arasından girerek iğne ile biyopsi (transtorasik iğne biyopsisi), bronkoskopi (soluk borusuna bakılan ışıklı boru) ile biyopsi uygulanmaktadır. Hastaların %80-90’ında bu yöntemler ile teşhis konulabilir. Bunlarla da teşhis konulamadığı durumlarda kapalı ameliyat (VATS) ile tanı konulması gerekebilir. Balgamdaki hücrelerin incelenmesi ile bazı hastalarda tanı konulabilmektedir. Özellikle soluk borusuna taşmış kanseri olan kişilerde balgam ile teşhis konulabilmektedir. Tükrük ve nefes incelemeleri ise hala araştırma aşamasındadır. Nefesteki gazların analizi ile kanserden şüphelenilmekte, fakat kesin hücresel tanı konulamamaktadır” diye konuştu.
Ne Zaman Şüphelenmeliyiz?
Akciğer kanserinden ne zaman şüphelenmemiz gerektiğine ilişkin açıklamalarda bulunan Prof. Dr. Batırel, “Sigara içen 55 yaşın üzerinde bir kişide normalden farklı bir öksürük, halsizlik veya hafif bir kilo kaybı önemlidir ve araştırılması gerekir. Bunlar kanserin ilk belirtileri olabilir. Soluk borusuna yerleşmiş tümörlerde kan tükürme ilk belirti olabilir. Bununla beraber akciğer kanseri uzağa sıçradığı durumlarda (ki hastaların yarısı bu şekilde bulgu verirler), baş ağrısı, kemiklerde ağrı, inme, parmaklarda çomaklaşma, lenf bezelerinde büyüme şeklinde bulgu verebilir” dedi. İmmunoterapi ve küba aşısı hakkındaki düşüncelerini aktaran Prof. Dr. Batırel, “İmmünoterapi hızla gelişen bir alandır ve günümüzde birçok değişik ilaç çeşidi akciğer kanserinde kullanılmaktadır. Bu ilaçlar kanser hücrelerindeki bazı özelliklere karşı etki etmekte ve vücudun bağışıklık sistemini güçlendirmektedir. Vücudun bağışıklık sistemini kanser hücrelerine karşı harekete geçirmektedir. Küba aşısı ile ilgili yeterli bilgim yok, bu konuda onkoloji doktorlarına danışabilirsiniz” dedi.
Tedavide cerrahinin yeri nedir?
Akciğer kanserinin ilk iki aşamasında halen en etkin tedavi yönteminin ameliyat olduğuna dikkat çeken Prof. Dr. Batırel, “Bu hastalarda genellikle akciğerdeki bir lob çevresindeki lenf bezleriyle birlikte çıkarılmaktadır. Akciğerler toplam 5 lobdan oluşmaktadır. Bir lobun kaybı önemli bir solunum kapasitesi azalmasına yol açmamaktadır. Günümüzde bu ameliyatların %50-60’ı kapalı yöntemle yapılmaktadır. Kapalı yöntem 1-3 küçük delikten girilerek lobun çıkarılmasını mümkün kılar. Sigaranın bırakılması çok önemlidir. Çünkü bir sigaranın dumanı solunum yollarındaki yelpazelerin çalışmasını 24 saat süreyle durdurmaktadır. Tedavi sürecinde sigara ve içerisindeki binlerce zehirli maddeden uzak durmak başarılı sonuç almak için gereklidir. Akciğer kanseri ameliyatlarından sonra sigara içmeye devam etmek, kanserin tekrarlaması veya yeni bir akciğer kanserinin gelişmesinin önünü açar. Ayrıca solunum işlevlerini azaltıp, hayat kalitesinin kötüleştirir” şeklinde konuştu.
Prof. Dr. Batırel, günümüzdeki tedavi başarı oranlarına ilişkin ise şunları söyledi: “Akciğer kanserinin dört evresi vardır ve birinci-ikinci evreler erken olarak nitelenmektedir.Erken evre akciğer kanserinde kapalı ameliyat ile %70-80 hastada iyileşme sağlanmakta ve hasta kanserden kurtulmaktadır. Tanı sırasındaki evre ilerledikçe bu oran düşmektedir. Günümüzde hedefe yönelik tedaviler ve immünoterapiler ile en ileri akciğer kanserinde dahi başarı elde edilebilmektedir.”
İnsan Hayatını Tehlikeye Atan Sürüşe 12 Bin TL CezaLefkoşa-Girne Anayolu üzerinde seyir halinde bulunan bir araç sürücüsünün, insan hayatını ve trafikteki diğer sürücüleri tehlikeye atacak şekilde araç kullandığına ilişkin görüntülerin sosyal medyada paylaşılması üzerine polis ekipleri harekete geçti.04 Mayıs 2026 Pazartesi 19:32KIBRIS
Hamitköy’de sağlıksız koşullarda, kaçak kesilen etler imha edildiHamitköy’de, sağlıksız koşullarda ve kaçak kesilen bin 395 kilo büyükbaş ve 70 kilo küçükbaş ete el konularak imha edildi.04 Mayıs 2026 Pazartesi 19:24KIBRIS
Geçitkale’de sağlık çalışanına şiddet!Hemşireler ve Ebeler Birliği ile Hemşireler ve Ebeler Sendikası, Geçitkale Sağlık Ocağı’nda bir sağlık çalışanının uğradığı saldırıyı kınadı. Örgütler, olayın ardından zanlının tutuklanmasını olumlu bulduklarını belirtti.04 Mayıs 2026 Pazartesi 19:21KIBRIS
İki Ayrı Kazada Alkollü Sürücüler TutuklandıGazimağusa ve Girne’de meydana gelen iki ayrı trafik kazasında, alkollü içki tesiri altında araç kullanan sürücüler kazalara karıştı.04 Mayıs 2026 Pazartesi 19:16KIBRIS
Girne’de Eğlence Mekânında Kavga: 12 Kişi Birbirine GirdiGirne’de Eğlence Mekânında Kavga: 12 Kişi Birbirine Girdi04 Mayıs 2026 Pazartesi 19:09KIBRIS
Acı haber... Ecel evinde yakaladıAcı haber... Ecel evinde yakaladı04 Mayıs 2026 Pazartesi 19:00KIBRIS
Mahkeme İlanı.. Dava No: 32/2026Mahkeme İlanı.. Dava No: 32/202604 Mayıs 2026 Pazartesi 15:30KIBRIS
Ayşegül Baybars’tan muhaceret affı çıkışı: Turist olarak gelenleri neden affediyoruz?Bağımsız Milletvekili Ayşegül Baybars, “Çalışma izninden mağdur ya da öğrenciler bir yere kadar anlaşılabilir ancak turist olarak gelmiş ve bu ülkenin tüm yasalarını sömürmüş birini affetmek nedir? Ayrıca turisti affedince yine turist kalmış oluyor.04 Mayıs 2026 Pazartesi 13:10KIBRIS
Narkotik Operasyonu: Kokain ve Hintkeneviri Ele GeçirildiLefkoşa’da “uyuşturucu madde tasarrufu, alma ve verme” suçlarından tutuklanan O.C.N. mahkemeye çıkarıldı.04 Mayıs 2026 Pazartesi 13:08KIBRIS
Lefkoşa'da yine mide bulandıran olay: 14 yaşındaki çocuğa...Lefkoşa’da “16 yaşından küçük çocuğa cinsel istismar” suçlamasıyla tutuklanan M.K. (E-25), mahkeme huzuruna çıkarıldı.04 Mayıs 2026 Pazartesi 13:07KIBRIS
- Geri
- Ana Sayfa
- Normal Görünüm
- © 2014 Detay Kıbrıs











Türkçe karakter kullanılmayan ve büyük harflerle yazılmış yorumlar onaylanmamaktadır.