ALKOL ALIRKEN YUTTUĞU KÜRDAN KALBİNE SAPLANDI: BARDAĞIMI AYIRT EDEBİLMEK İÇİN KOYUYORDUM
Çin'de doktorlar bir hastanın kalp atışlarındaki dengesizliği araştırırken, tesadüf eseri sağ kalp kapakçığında sivri uçlu bir nesne tespit etti.

04 Şubat 2019 Pazartesi 16:35
Çin'de bir hastanın kalbinden, alkol tüketirken yuttuğunu iddia ettiği bir kürdan çıkartıldı.
Guangksi Zhuang Özerk Bölgesi'ndeki Nanning kentinin cerrahları, bu akıl almaz durumla 9 Ocak tarihinde gerçekleştirdikleri açık kalp ameliyatı esnasında karşı karşıya kaldı.
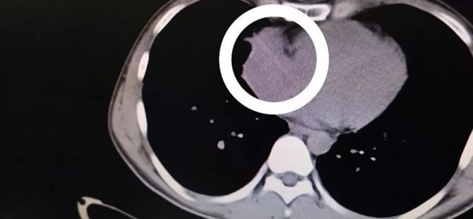
Doktorlar, 29 yaşındaki Zhou soyadlı hastanın kalbinin sağ kapakçığında 6 santim uzunluğunda bir kürdan bulduklarını açıkladı. Kürdanın hastanın nefes yolundan geçip sağ ciğerini delerek, kalbe ulaştığı düşünülüyordu. Yedi saatlik bir operasyonun ardından hastanın durumu kontrol altına alındı.
Zhou yetkililere, ‘kendi bardağını diğerlerinden ayırt edebilmek için her daim içine bir kürdan koyduğunu' açıkladı. Hasta, bir buçuk gün kadar önce alkolle beraber kürdanı da yutmuş olabileceğini tahmin ediyordu.
TEDAVİ OLMAK İÇİN BİNLERCE YUAN HARCADI
Yerel gazete Nanning Evening News'in haberine göre, Zhou'nun üç dört sene evvel son derece ağır bir hastalık geçirmiş ve tedavi olmak için 200.000 Yuan (yaklaşık 150.000 Türk lirası) harcamıştı.
Düzenli aralıklarla ciğer infiltrasyonu ve yüksek ateşten şikâyetçi oluyor, ancak doktorlar hastalığına bir türlü derman olamıyorlardı.
Kimi doktorlar kan zehirlenmesi geçirdiğini söylerken, kimileri ise lösemiden şüpheleniyordu.
Geçtiğimiz ay Guanski Devlet Hastanesi'ne giden Zhou, doktorların kendisine kesin bir tanı koymasını umuyordu. Ateşi artık 40 dereceye kadar dayanmıştı.
Tetkiklerin ardından doktorlar, Zhou'nun sağ ciğerinde anormal bir gölge ve sağ kalp kapakçığında aşırı bir genişleme tespit ettiler. Genişlemeyi önlemek üzere açık kalp ameliyatına başladıklarında ise, onları kalbe saplanmış bir kürdan karşıladı.
'DAHA ÖNCE DE YUTMUŞTUM, AMA BOĞAZIMA TAKILMIŞTI'
Hasta kendi bardağını diğerlerinden ayırt edebilmek için her daim içine bir kürdan koyduğunu, alkolle beraber kürdanı da yutuvermiş olabileceğini söyledi. Neyse ki hastaya zamanında müdahale edilmişti.Bardağına koyduğu kürdanlarla yaşadığı diğer deneyimleri de anlatan Zhou, "Bir keresinde alkolle beraber kürdanı yine yutmuştum, ancak boğazıma takılıp kalmıştı. Derhal elimle müdahale edip çıkarmıştım" dedi.
Kardiyovasküler cerrahi departmanı başkanı Doktor Wen Zhaohui, "Hastanın kalbine saplanmış yabancı bir nesne görmek pek alışık olduğumuz bir durum değil, böyle bir vakayı tespit etmek oldukça zor olabilir. Eğer hastanın durumu derhal kontrol altına alınmazsa, kalbinde ve solunum yollarında öldürücü iltihaplar meydana gelebilirdi. Zhou hayatta olduğu ve ciddi bir organ hasarıyla yüzleşmek zorunda kalmadığı için oldukça şanslı" dedi.
Çin'de buna benzer vakalar önceden de yaşanmıştı: Şian şehrindeki Xi'an Hastanesi doktorları, 25 yaşındaki kalp içzarı iltihanından muzdarip Xİao Zhao'yu tedavi ediyorlardı. Tetkikler sonrasında doktorlar, kızın kalbinde sonradan 6 santimlik bir kürdan olduğu anlaşılan bir nesne tespit etti. Xiao'nun ise vücuduna kürdanın nasıl girmiş olacağına dair hiçbir fikri yoktu.
Ay. Napa'da çaldığı araçla polis araçlarına çarpan zanlı, yaya olarak İngiliz üslerine kaçtı!Ay. Napa’da çalıntı olduğu belirlenen bir aracın sürücüsü, “dur” ihtarına uymayarak kaçtı, üç polis devriye aracına çarptı; polis havaya ateş açarken sürücü İngiliz üsleri yönüne kaçtı.15 Aralık 2025 Pazartesi 13:41GÜNEY KIBRIS
İşte en çok yağış alan bölgeler...Meteoroloji Dairesi bu sabah itibarıyla son 24 saatte en fazla yağışın metrekareye 22 kilogramla Koruçam'da kaydedildiğini açıkladı.15 Aralık 2025 Pazartesi 13:40HAVA DURUMU
35 Sivil Hizmet Görevlisi Münhaline Başvurular Bugün Başladıolis Genel Müdürlüğü, kurumun ihtiyaçları doğrultusunda 35 (kadın/erkek) Sivil Hizmet Görevlisi (Bilgisayar Operatörü) kadrosu için açılan münhal kapsamında başvurular bugün başladı.15 Aralık 2025 Pazartesi 12:52KIBRIS
Holguin iyi bir başlangıç yaptıkHolguin, üçlü görüşme ve yeni süreci değerlendirdi. BM Genel Sekreteri’nin Kişisel Temsilcisi Maria Angela Holguin, üçlü görüşme ve yeni süreci, Yenidüzen gazetesine değerlendirdi.15 Aralık 2025 Pazartesi 11:40KIBRIS SORUNU
Nami: BM öncelikle konuları tekrar tartışma çabalarına engel olmalıEski Dışişleri Bakanı ve müzakereci Özdil Nami, son liderler görüşmesinde yapılan açıklamayı değerlendirdi.15 Aralık 2025 Pazartesi 11:37KIBRIS
“Şap hastalığı sadece hayvanı değil, üreticinin geleceğini vuruyor”Toplumcu Demokrasi Partisi (TDP) Tarım ve Hayvancılık Komitesi, şap hastalığına ilişkin yazılı açıklama yaparak, hastalığın ülke hayvancılığı ve gıda güvenliği açısından ciddi bir tehdit oluşturduğunu belirtti.15 Aralık 2025 Pazartesi 10:57İSKELE
KKTC genelinde sağanak yağmur ve kuvvetli rüzgâr etkili olacakMeteoroloji Dairesi, bölgenin alçak basınç ve soğuk–nemli hava kütlesinin etkisine girdiğini açıkladı. Hava parçalı ve çok bulutlu, yer yer sağanak yağmurlu; rüzgâr ise zaman zaman kuvvetli esecek.15 Aralık 2025 Pazartesi 10:54HAVA DURUMU
Olguner: Suya karşı değil, suyla birlikte tasarlanan kentler mümkündürKTMMOB Mimarlar Odası Başkanı Onur Olguner, son yağışların ardından yaşanan su taşkınlarının planlama ve yapılaşma hatalarının sonucu olduğunu belirtti.15 Aralık 2025 Pazartesi 10:47KIBRIS
Bağımsızlık Yolu bütün kadro ve programlarıyla olası bir seçime hazırAsgari ücret tartışmalarının önüne geçmenin yolunun asgari ücretin en düşük kamu maaşına eşitlenmesinden geçtiğini vurgulayan Rahvancıoğlu, ocaktan bugüne asgari ücretin enflasyon karşısında bir maaş kaybettiğine de dikkat çekti.15 Aralık 2025 Pazartesi 10:46KIBRIS
Güzelyurt-Lefkoşa anayolunda trafik kazasıGüzelyurt-Lefkoşa anayolunda trafik kazası yaşandı. Kazanın ardından olay yerine polis ekipleri sevk edilirken, bölgede güvenlik önlemleri alındı.15 Aralık 2025 Pazartesi 10:42KIBRIS
- Geri
- Ana Sayfa
- Normal Görünüm
- © 2014 Detay Kıbrıs











Türkçe karakter kullanılmayan ve büyük harflerle yazılmış yorumlar onaylanmamaktadır.